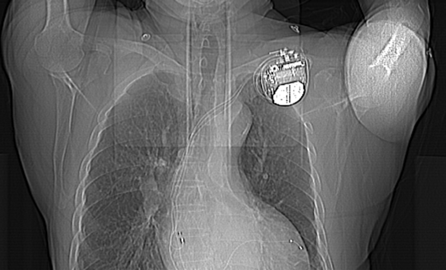
医 术 2021年9月6日 成都东篱医院 心内科李其勇主任带领科室团队 为一位患“扩张型心肌病 ”七十岁爷爷 成功施行“ CRTD植入术” 希望可以治好自己的“心病” 夏爷爷,70岁,十余年前就因活动后心累气促、活动耐受力下降,被当地医院诊断为“心力衰竭”,给予药物治疗后好转。近些年反复发作,后被诊断为“扩张型心肌病 全心增大 EF下降型心衰”,辗转于多家医院,治疗效果微乎其微。1个月前夏爷爷感到病情进一步加重,甚至走几分钟的路都得停一停、缓一缓,身体乏力,精神萎靡,夜间还存在呼吸困难的情况,于8月27日收入我院心内科。 心脏彩色多普勒超声提示:LA55*73*62,LV76,RA59*42,IVS11,EF37%。 腔内电生理图提示:QRS波163.89ms 新技术带来新希望 术前科室医疗组经过反复分析病情与家属沟通后,决定为夏爷爷植入CRTD(心脏再同步化治疗及埋藏式心脏自动除颤器)。 CRT(心脏再同步化治疗起搏器)可以保证心脏的左右心腔重新恢复同步收缩,减少由于心脏扩大导致的瓣膜返流,达到改善心衰,逆转心脏扩大的作用。 ICD(埋藏式心脏自动除颤器)则可以自动识别室性心动过速、室性纤颤等恶性快速心律失常,及时给予电学终止治疗。 CRTD将以上两种功能合二为一,该技术集起搏、治疗恶性心律失常、改善心力衰竭于一体,使慢性心衰病人恢复双心室同步收缩、改善心功能、从而降低心律失常的发作,提高生活质量,降低心衰住院率和死亡率。 CRTD成功植入,老人平安 手术器械的选择,手术的每一个步骤,术中可能出现的危急情况等,科室都做了充分的准备。9月6日,在李其勇主任的指导下,心内科医护团队紧密协作,克服患者靶血管相对细小的困难,最终选择适宜位点,成功植入电极,手术非常顺利。 安置后的CRTD 术后经胸部CT证实患者电级安装到位,程控起搏器各项数据工作良好。切口周围皮肤无红肿、无明显活动性出血疼痛,患者自述症状较前期缓解。从此,夏爷爷的心脏有了一个“新管家”,心功能将逐渐恢复!






